НУ Интеллектуалды жүйелер және жасанды интеллект институтының ғалымдары кеуде қуысының рентгенографиясын диагностикалауға арналған ақысыз жүйені ұсынды. Енді кез келген адам бұл қызметті институттың сайты арқылы пайдалана алады.
Жүйе бірнеше секунд ішінде рентгендік кескіннің түрін анықтауға және патологияны онлайн режимде көруге мүмкіндік беретін терең оқыту технологиялары негізінде құрылды. Бұл әдіс кеудедегі әртүрлі ауытқуларды анықтауға мүмкіндік береді. Әзірлеушілер мұндай қызмет дәрігерлерге патологияны тиімді диагностикалауға көмектесіп қана қоймай, медициналық көмек құнын төмендететініне сенімді.
«Біз кеуде, саусақ, білек, шынтақ, қол, иық, аяқ, пателла, тобық пен жамбас рентгенографиясын, сондай-ақ омыртқа мен тістерді қамтитын медициналық бейнелер жинағын топтастырдық. Содан кейін біз осы кескіндерді сақтау және өңдеу үшін Nvidia DGX-2 супер компьютерін пайдаландық. Үлгіні пайдалануда DGX-тің орасан зор қуаты көмектесті. Мысалы, супер компьютер қолданылды, сонда жүйе сурет бөлшектері арқылы рентген сәулесі мен патологияның түрін дәл анықтай алады», — дейді жоба авторларының бірі, институттың ғылыми қызметкері Ернұр Нұрамбек.
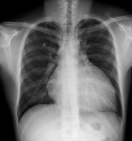
Жүйе демо-нұсқа түрінде Институттың веб-сайтында https://issai.nu.edu.kz/xray/ сілтемесі арқылы қолжетімді. Жүйені қолдану үшін дәрігерге жүйеге жүктелген сканерленген рентген сәулесі қажет. Диагностика бірнеше кезеңнен тұрады: кескінді анықтау («рентген немесе рентген емес»), кескіннің түрін анықтау (кеуде, иық, білек, аяқтың бас жағы және т.б.) және әр үлгі үшін жеке терең зерттеу моделі арқылы әр суреттегі ауытқуларды анықтайтын рентген сәулесі.
Қазіргі уақытта жүйе тек кеуде қуысының патологиясын анықтай алады, бірақ болашақта жүйенің дененің басқа бөліктерінің патологияларын анықтау мүмкіндіктерін кеңейту жоспарланып отыр.








