Ученые Института умных систем и искусственного интеллекта НУ представили бесплатную систему диагностирования рентген-снимков грудной клетки. Теперь, любой желающий может воспользоваться этим сервисом на сайте Института.
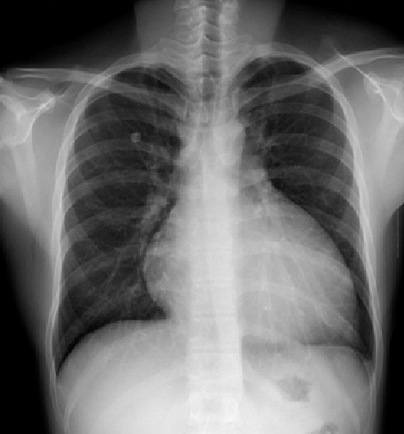
Система создана на основе технологий глубокого обучения (deep learning), которая позволяет определить тип рентгеновского снимка и визуализировать патологию онлайн, в течение пары секунд. Этот метод позволяет выявлять различные аномалии в грудной клетке. Разработчики уверены, что такой сервис позволит не только помочь врачам в эффективной диагностике патологий, но и снизит затраты на медицинское обслуживание.
“Мы собрали набор данных медицинских изображений, включая рентген грудной клетки, пальца, запястья, локтя, предплечья, кисти, плечевой кости, стопы, коленной чашечки, голеностопа и тазобедренной части, а также позвоночника и зубов. Затем мы использовали суперкомпьютер Nvidia DGX-2 для хранения и обработки этих изображений. Огромная вычислительная мощность DGX помогла обучить модель. Например суперкомпьютер использовался для того, чтобы система могла точно определять тип рентгеновского снимка, и патологию на основе деталей снимка” – говорит со-автор проекта, научный сотрудник Института Ернур Нурамбек.
Система доступна в виде демо-версии на сайте Института по ссылке: https://issai.nu.edu.kz/xray/. Для того, чтобы воспользоваться системой, врачу необходим сканированный рентген-снимок, который загружается в систему. Диагностика состоит из нескольких этапов: определение изображения («Рентген или Не рентген»), определение типа снимка (грудная клетка, плечо, локоть, голень и тд), и индивидуальная модель глубокого обучения для каждого типа рентгеновского снимка, которая идентифицирует аномалии в каждом изображении.
На данный момент система может определять патологию только грудной клетки, однако в будущем планируется расширить возможности системы до определения патологий других частей тела.








